主な診察内容
- 矯正歯科
- 一般歯科
- ホワイトニング
矯正歯科
当院が毎日の矯正歯科の治療で気を付けているのは痛みを少なくすること。
治療期間が2年、3年とかかることがあるので虫歯にならないように常に気にかけています。
上下に固定装置を付ける治療をされる患者さんには治療後のイメージを見てもらうように工夫しています。
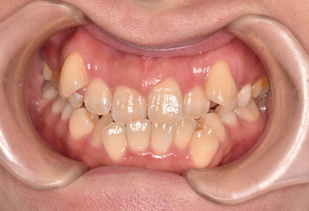
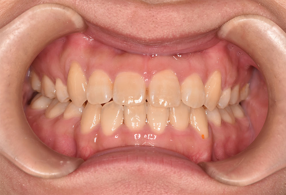
- ワイヤー矯正の治療実例
術者 副委員長 瀧本政輝
動的治療期間 1年9ヵ月
| 治療前 | 治療後 |
![]() |
![]() |
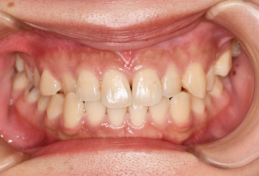
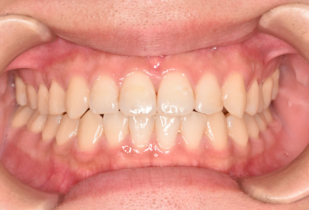
- ワイヤー矯正の治療実例 非抜歯
術者 副委員長 瀧本政輝
動的治療期間 1年10ヵ月
| 治療前 | 治療後 |
![]() |
![]() |
一般歯科
たきもと歯科では副院長が虫歯の治療、歯にかぶせる治療、入れ歯の治療など、またホワイトニングを行っています。
矯正歯科治療で抜歯が必要で特にかかりつけ歯科医院がない場合は抜歯を行います。
矯正歯科治療を始めるにはまず、来院して頂いて矯正歯科治療の流れを、そして治療する前の検査、治療方法の説明など1時間以上かけて説明をします。また説明量が多いので紙に印刷したものを差し上げます。初診相談から1ヶ月位で矯正装置がつけられるようになります。
相談時には類似症例を見ていただくと矯正全体のイメージがはっきりわかると思います。




